IPE > Hero > Video thumbnail
IPE > Hero > Video thumbnail

invis es
transformar el tratamiento de disyunción palatina

Basado en años de investigación y clínicamente probado1, el sistema Invisalign® Palatal Expander ofrece un enfoque revolucionario para la disyunción esquelética.

Descubra los numerosos beneficios del tratamiento interceptivo con Invisalign Palatal Expander.

Diseñado pensando en usted y sus pacientes.

Tratamiento clínicamente efectivo1

El tratamiento Invisalign Palatal Expander cumple con sus objetivos clínicos para lograr la disyunción de la sutura media palatina.

Un flujo de trabajo digital sencillo

Se integra fácilmente en el flujo de trabajo de su clínica tras el escaneo iTero™ scan.

Menos tiempo de consulta

Conlleva menos complicaciones y citas de urgencia2 que los dispositivos tradicionales, lo que puede ahorrarle tiempo de consulta.

Experiencia de paciente positiva

Con los Invisalign Palatal Expanders conseguirá el resultado que busca, con menos dolor3 y ansiedad para los pacientes y sus padres.

IPE Meet the cutting-edge design
IPE Meet the cutting-edge design

Conozca el diseño de vanguardia del sistema Invisalign Palatal Expander.

Con el sistema Invisalign Palatal Expander, los pacientes se sienten más cómodos4 y tienen menos ansiedad:

  • Superficie palatina suave para mayor comodidad del paciente.
  • Cobertura palatina con grosor hecho a medida para cada paciente.
  • Pestaña de extracción para facilitar la inserción y desinserción.

Revolucione la experiencia de paciente durante la consulta para sus pacientes y equipo.

Simplifique sus citas de entrega y retirada de disyuntores con el sistema Invisalign Palatal Expander.

IPE Girl putting Invisalign Palatal Expander
IPE Girl putting Invisalign Palatal Expander
IPE Girl putting Invisalign Palatal Expander

Inserción del sistema Invisalign Palatal Expander

Los Invisalign Palatal Expanders son fáciles de insertar. La mayoría de los pacientes en etapa de crecimiento pueden hacerlo solos. Los Invisalign Palatal Expanders también son fáciles de quitar, por lo que permiten mantener una mejor higiene oral.

Inserción del sistema Invisalign Palatal Expander

Los Invisalign Palatal Expanders son fáciles de insertar. La mayoría de los pacientes en etapa de crecimiento pueden hacerlo solos. Los Invisalign Palatal Expanders también son fáciles de quitar, por lo que permiten mantener una mejor higiene oral.

Inserción del sistema Invisalign Palatal Expander

Los Invisalign Palatal Expanders son fáciles de insertar. La mayoría de los pacientes en etapa de crecimiento pueden hacerlo solos. Los Invisalign Palatal Expanders también son fáciles de quitar, por lo que permiten mantener una mejor higiene oral.

Detenga un problema latente que podría agravarse con el tiempo si no se trata.

Vea de un vistazo hasta dónde llega clínicamente Invisalign Palatal Expander.

 

IPE Boy holding Invisalign Palatal Expander
IPE Boy holding Invisalign Palatal Expander
  • Indicaciones para el tratamiento: El sistema se utiliza para disyuntar rápidamente la sutura palatina y, posteriormente, para estabilizar el paladar (maxilar superior, arcada dental y dientes, paladar) con dentición primaria, mixta o permanente durante el tratamiento ortodóncico u ortopédico.

  • Perfil del paciente: Pacientes en edad de crecimiento o adultos (que también requieran de una cirugía o de otras intervenciones).

  • Número de expanders y holders:  Ilimitados* con una fecha de expiración del tratamiento de 18 meses.

  • Tiempo de tratamiento habitual: Aproximadamente un mes para la fase de disyunción dependiendo de la gravedad del caso

Vea lo que dicen otros doctores del sector sobre esta nueva y revolucionaria forma de tratar los casos de Fase I.

El sistema Invisalign Palatal Expander es más cómodo e igual de efectivo5.

de los ortodoncistas certificados en el sistema Invisalign que participaron en la encuesta coincidieron en que recomendarían el sistema Invisalign Palatal Expander a otros doctores del sector.6

de los pacientes tratados con Invisalign Palatal Expanders fueron cumplidores a la hora de usar el dispositivo durante el tratamiento de disyunción.7

de los ortodoncistas certificados en el sistema Invisalign que participaron en la encuesta coincidieron en que los pacientes en edad de crecimiento tratados con el sistema Invisalign Palatal Expander tienen una mejor calidad de vida* que aquellos tratados con disyuntores palatinos tradicionales.5

Descubra el poder de lo sencillo.

Proporcione un tratamiento personalizado para la disyunción progresiva con un flujo de trabajo simplificado.

image-text-and-media-expander-stages
image-text-and-media-expander-stages
  • Paso 1: Tras un sencillo escaneo iTero, se diseñan los expanders y los holders totalmente a medida, tomando en cuenta la forma anatómica de la cavidad oral de cada paciente, y se fabrican imprimiéndolos en 3D. 

  • Paso 2: Los pacientes progresan sustituyendo sus disyuntores removibles por otros en pequeños incrementos.

  • Paso 3: Una vez conseguida la disyunción deseada, los holders palatinos Invisalign se reemplazan cada 2-4 semanas para estabilizar el paladar.

    Nota: Los expanders y los holders se sujetan a los attachments** que se cementan en los dientes para evitar que se muevan.

image-text-and-media-invis-first-ipe
image-text-and-media-invis-first-ipe

Transición sin problemas al tratamiento Invisalign First™.

Los expanders son compatibles con los aligners transparentes del tratamiento Invisalign First, de modo que se pueden usar a la vez. Con esta solución, los doctores tienen a su alcance un tratamiento interceptivo temprano muy completo que les permite tanto disyuntar el paladar (tratamiento ortopédico) como expandir la arcada dental (tratamiento ortodóncico). Más información sobre el tratamiento de fase I con aligners Invisalign First.

Explore casos prácticos destacados.

Juntos estamos avanzando en la forma en que se proporciona el tratamiento interceptivo temprano a los pacientes en edad de crecimiento.

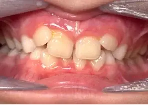
Informe de caso 1

10 años, 0 meses de edad, 18 etapas con dispositivos Invisalign Palatal Expander
Cortesía de la Dra. Sandra Khong Tai

image-card-case1-pre-invis-palatal
image-card-case1-pre-invis-palatal

Antes de la disyunción con el sistema Invisalign Palatal Expander

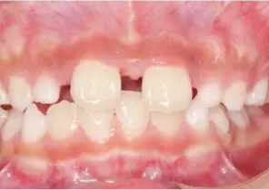
IPE > Case study 1 > Post Invisalign Palatal Expander
IPE > Case study 1 > Post Invisalign Palatal Expander

Después de la disyunción con el sistema Invisalign Palatal Expander

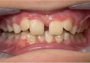
image-card-case1-after-first-treatment
image-card-case1-after-first-treatment

Después del tratamiento Invisalign First

Informe de caso 2

7 años, 11 meses de edad, 24 etapas con dispositivos Invisalign Palatal Expander
Cortesía del Dr. David R. Boschken

IPE Case 2 pre palatal expander
IPE Case 2 pre palatal expander

Antes de la disyunción con el sistema Invisalign Palatal Expander

image-card-case2-post-palatal-expander
image-card-case2-post-palatal-expander

Después de la disyunción con el sistema Invisalign Palatal Expander

image-card-ipe-xray
image-card-ipe-xray

Después del tratamiento con el sistema Invisalign Palatal Expander

Preguntas frecuentes (FAQ)

Si tiene alguna duda o desea acceder a la guía completa de preguntas frecuentes (FAQ), póngase en contacto con su asesor comercial Invisalign.

1
¿Qué es el sistema Invisalign® Palatal Expander?
El sistema Invisalign® Palatal Expander es el primer dispositivo ortodóncico de Align que se imprime directamente en 3D y que sirve para disyuntar el paladar en pacientes en edad de crecimiento. Este sistema se compone de una serie de dispositivos que prescribe el doctor: los Invisalign® Palatal Expander y los Invisalign® Palatal Holders.
2
¿De qué están hechos los Invisalign Palatal Expanders?
Los Invisalign Palatal Expanders y los Invisalign Palatal Holders se fabrican con poliamida-12, un polímero también conocido como «nailon 12», un tipo de nailon.
3
¿Cuántos mm de disyunción se consiguen por día? ¿Puedo controlar la disyunción para que sea menor en cada etapa?

Después de la etapa 0 (pasiva), el resto de las etapas se programan para que disyunten de forma activa el paladar a un ritmo de 0,25 mm por etapa.

El doctor puede solicitar que los expanders se sustituyan a diario para conseguir que la disyunción se produzca a un ritmo más rápido o marcar unos intervalos más largos de tiempo si prefiere que la disyunción se produzca más lentamente.

4
¿Qué casos se pueden tratar con Invisalign Palatal Expander?
  1. Para saber en qué casos se puede utilizar este sistema, se deben tener en cuenta los siguientes parámetros. Pacientes elegibles:
    1. Tres dientes estables por cuadrante en la arcada superior
    2. Altura de corona de al menos 4 mm
    3. Primeros molares permanentes (6s)
    4. Primeros molares temporales (Ds) o primeros premolares (4s)
    5. Segundos molares temporales (Es) o segundos premolares (5s)
    6. Segundos molares permanentes (7s) que pueden estar erupcionados, si bien el dispositivo no los cubrirá
    7. Caninos (Cs/3s) que pueden estar erupcionados, si bien Invisalign Palatal Expander no los cubrirá
  2. Puede que no sea aplicable:
    1. Coronas clínicas cortas:
      • Puede presentarse falta de mantenimiento del dispositivo o dificultad en el cementado de attachments en dientes con coronas clínicas cortas (<4 mm) o en primeros molares superiores permanentes inestables, en segundos premolares superiores temporales y en primeros molares superiores temporales.
    2. Restauraciones dentales:
      • En dientes con coronas de acero inoxidable u otros tipos de restauraciones dentales, puede ocurrir que el dispositivo ejerza un mantenimiento insuficiente, que se aplique una fuerza excesiva en las restauraciones dentales o sea difícil el cementado de los attachments:
      • Los pacientes con coronas de acero inoxidable podrían ser aptos para el tratamiento a discreción de los doctores (téngase en cuenta que el dispositivo Invisalign Palatal Expander cubrirá esos dientes)
    3. Pacientes con patologías palatinas:
      • Exostosis o fisura palatina
    4. Casos no aplicables para el tratamiento:
      • dientes ausentes debajo del Invisalign Palatal Expander (es decir, los dientes D/4, E/5 y 6)
      • solo dientes de leche (es decir, aún no han erupcionado los dientes 6)
5
¿Cuántas etapas? ¿Se envían todos los dispositivos a la vez? ¿Se envía una unidad o dos unidades para cada etapa?
Para cada etapa se envía una serie de Invisalign Palatal Expanders como un solo dispositivo. Cualquier etapa extra deberá pedirse desde el Formulario de prescripción.
Dependiendo de los objetivos clínicos, el doctor decidirá cuántas etapas prescribe:
  • El número de etapas se determina en función de la cantidad deseada de disyunción especificada en el Formulario de prescripción: cada etapa se programa a 0,25 mm/día. La cantidad máxima de disyunción que se puede solicitar es de 12 mm. El doctor puede detener la disyunción en cualquier momento basándose en la observación o preferencia clínica y solicitar Invisalign Palatal Holders. Los Invisalign Palatal Holders deben pedirse por separado en el Formulario de prescripción.
  • El doctor también determina el número de etapas de mantenimiento en función del periodo de tiempo de mantenimiento (en semanas). El holder es una copia del expander de la última etapa y sirve para estabilizar el paladar después de la fase de disyunción activa. Se cambia cada 2-4 semanas.
Los expanders y los holders se envían por separado. Los holders se fabrican una vez que se ha alcanzado la disyunción activa deseada y el doctor especifica en el Formulario de prescripción en qué etapa debe comenzar la fase de mantenimiento.
 
6
¿Cuál es el grosor del dispositivo de cada etapa? ¿Es el mismo para cada etapa?
El grosor del dispositivo se personaliza en función de la anatomía de cada paciente. El grosor de la zona palatina también se fabrica a medida para mayor comodidad.
7
¿Genera el Invisalign Palatal Expander la misma fuerza/presión para cada etapa? ¿O varía la fuerza/presión?
El dispositivo está diseñado para aplicar una fuerza transversal igual o similar en cada etapa del tratamiento, pero esa fuerza puede variar según la anatomía del paciente.
8
¿Los pacientes tienen que quitarse el Invisalign Palatal Expander para comer? Si pueden comer con el dispositivo puesto, ¿hay algún alimento o bebida que deban evitar?
  • Los pacientes no tienen que quitarse los dispositivos para comer o beber. Sin embargo, se recomienda enjuagarse bien la boca después de cada comida.
  • Precaución: Masticar alimentos duros, pegajosos o azucarados (incluidos los chicles) puede dañar el dispositivo o los dientes del paciente, por lo cual se debe evitar. Tomar bebidas azucaradas o ácidas puede dañar los dientes del paciente y se debe evitar.
  • Los pacientes deben cepillarse los dientes y usar hilo dental antes de insertar el dispositivo. Si no se tiene acceso a un cepillo de dientes, puede enjuagarse la boca y limpiar los dispositivos sosteniéndolos bajo agua corriente.
  • Los pacientes no deben desechar las bolsas originales, ya que se utilizarán para guardar los dispositivos usados.
  • Nota: Los doctores deben evaluar a cada paciente para saber si debe quitarse el dispositivo para comer (considerando la edad del paciente y la capacidad de quitarse y volver a ponerse el dispositivo) y deben aconsejar a los pacientes y a los adultos supervisores que mantengan una higiene oral adecuada y que sigan las instrucciones de uso y cuidado. Los doctores deben remitir a los pacientes a las Instrucciones de Uso y Cuidado. Se puede solicitar una copia impresa a través de la pestaña «Soporte» de Invisalign Doctor Site
9
¿Qué escáneres se pueden utilizar?
De acuerdo con la aplicabilidad del proceso de negocio actual, Align Technology, Inc. únicamente acepta escaneos hechos con escáneres intraorales digitales iTero disponibles comercialmente (ofrecidos por Align Technology, Ltd.). No se aceptan escaneos ni impresiones PVS de terceros. Consulte las instrucciones de uso del escáner iTero para obtener las instrucciones completas de uso.
Para el tratamiento de disyunción palatina se tiene que escanear la superficie palatina, gingival y coronal.
Todos los escáneres intraorales digitales de la marca iTero se pueden usar para el sistema Invisalign Palatal Expander. Visite el sitio web del escáner iTero o póngase en contacto con el servicio de Atención al Cliente para obtener un listado de los escáneres disponibles en su región.
 
10
¿Qué attachments puedo utilizar?
Consulte la guía de inicio rápido del Invisalign Palatal Expander para ver la lista de agentes adhesivos y composites que se pueden usar con el sistema Invisalign Palatal Expander según las pruebas de adhesión llevadas a cabo por Align Technology.
11
¿A qué dientes se cementan los attachments?
En los 6s y los Es (alternativamente, si los 5s han erupcionado lo suficiente, entonces tendrán attachments)
12
¿Qué dientes cubre el sistema Invisalign Palatal Expander? ¿Cuántos dientes quedan cubiertos con dicho sistema?
Quedan cubiertos tres dientes (Ds, Es y 6s), pero los attachments se cementan en dos dientes
  1. Según los datos de un estudio multicéntrico, llevado a cabo en Estados Unidos con una Exención de Dispositivo de Investigación (EDI) y una muestra de n = 29 sujetos de entre 7 y 10 años de edad, para el tratamiento de disyunción palatina con Invisalign® Palatal Expanders. Datos de archivo de Align Technology, a 5 de septiembre de 2023.

  2. Según una encuesta efectuada en Canadá en agosto de 2023 con 10 ortodoncistas certificados en el sistema Invisalign que participaron en la evaluación del diseño técnico del sistema Invisalign Palatal Expander y que han tratado al menos a un paciente cuya edad estuviera comprendida entre los 6 y 11 años con un dispositivo IPE. Datos de archivo de Align Technology, a 30 de octubre de 2023.​

  3. Según una encuesta llevada a cabo en Canadá en agosto de 2023 con 10 ortodoncistas certificados en el sistema Invisalign, que participaron en la evaluación del diseño técnico del sistema Invisalign Palatal Expander.Datos de archivo a 30/10/2023.

  4. Según una encuesta llevada a cabo en Canadá, en agosto de 2023, a 10 ortodoncistas especialistas en el sistema Invisalign que participaron en la evaluación del diseño técnico del sistema Invisalign® Palatal Expander y trataron al menos a un paciente de edad comprendida entre los 6 y los 11 años con Invisalign® Palatal Expander, a los que se les pidió que indicasen su grado de conformidad con la siguiente afirmación: «El sistema Invisalign® Palatal Expander es cómodo de llevar para los pacientes, ya que no tiene piezas metálicas ni un tornillo que se debe girar en comparación con los disyuntores palatinos tradicionales, como Schwartz, Hyrax, etc.». Escala de conformidad comprendida entre 1 y 4, donde 1 es «Muy en desacuerdo» y 4 «Totalmente de acuerdo».Datos de archivo de Align Technology, a 30 de octubre de 2023.​​

  5. Según una encuesta llevada a cabo en Canadá, en agosto de 2023, a 10 ortodoncistas especialistas en el sistema Invisalign que participaron en la evaluación del diseño técnico del sistema Invisalign® Palatal Expander y trataron al menos a un paciente de edad comprendida entre los 6 y los 11 años con el Invisalign Palatal Expander, a los que se les pidió que indicasen su grado de conformidad con la siguiente afirmación: «Los pacientes tratados con el sistema Invisalign® Palatal Expander tienen un mejor calidad de vida que los pacientes tratados con disyuntores palatinos tradicionales, como Schwartz, Hyrax, etc.». Escala de conformidad comprendida entre 1 y 4, donde 1 es «Muy en desacuerdo» y 4 «Totalmente de acuerdo». Datos de archivo de Align Technology, a 30 de octubre de 2023.

  6. Según la encuesta llevada a cabo en Canadá, en agosto de 2023, a 10 ortodoncistas certificados en el sistema Invisalign® que habían participado en la evaluación del diseño técnico del sistema Invisalign Palatal Expander y tratado al menos a un paciente con edad comprendida entre los 6 y los 11 años con el sistema Invisalign Palatal Expander, que respondieron a la pregunta: «Indique su grado de conformidad con la siguiente afirmación: “Recomendaría el sistema Invisalign® Palatal Expander a pacientes en edad de crecimiento (habitualmente de entre 6 y 10 años de edad)”».* Escala de acuerdo comprendida entre 1 y 4, donde 1 es «Muy en desacuerdo» y 4 «Totalmente de acuerdo».  Datos de archivo de Align Technology, a 30 de octubre de 2023.​

  7. Según el feedback proporcionado por los doctores en un estudio multicéntrico, llevado a cabo en Estados Unidos con una Exención de Dispositivo de Investigación (EDI) y una muestra de n = 29 sujetos de entre 7 y 10 años de edad, para el tratamiento de disyunción palatina con Invisalign® Palatal Expanders.​ Datos de archivo de Align Technology, a 5 de septiembre de 2023.​

    *Consulte los Términos y Condiciones de Fijación de Precios del sistema Invisalign Palatal Expander para conocer todos los detalles.
    **El sistema no incluye attachments.

Loading...